Ad:

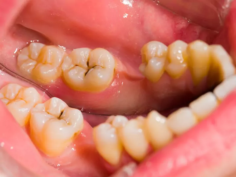
Caries risk factors

You can read this text in 1 min.

Caries risk factors

Panthermedia

Caries, poor oral health

Current management of dental caries includes prevention, control and treatment.

Ad: