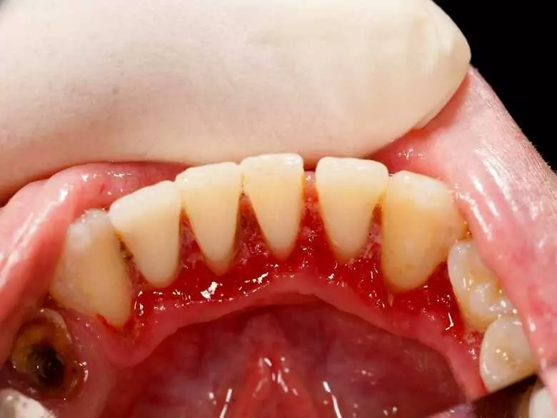
Gingivitis is associated with a bacterial infection. Although the inflammation itself is not contagious, the bacteria responsible for its development can be transmitted between people, for example by kissing.
Ad:
You can read this text in 2 min.
PantherMedia
Teeth
